脳血管内治療(カテーテル治療)

脳神経血管内治療専門医が2名在籍(うち1名は日本脳神経血管内治療学会指導医)しており、バイプレーン(2方向同時撮影)の脳血管撮影装置を用いた最先端の脳血管内治療が可能です。脳血管内治療ではカテーテルを用いて3mm程度の僅かな傷のみで脳動脈瘤、頸動脈狭窄、脳主幹動脈塞栓、脳動静脈奇形・硬膜動静脈瘻などの低侵襲治療が可能です。様々な予定手術だけでなく、一刻を争う緊急の血管内治療にも常時対応します。

脳動脈瘤治療

通常のコイル塞栓術、脳血管ステント併用コイル塞栓術、フローダイバーターを用いた治療など、脳動脈瘤に対する最新の血管内治療が可能です。様々な治療選択肢の中から、患者様の動脈瘤の部位、形状によって最適な治療方法をご提案いたします。通常、手術時間は60~120分程度。一般的に4日~7日程度の入院期間となります。

ステント併用コイル塞栓術治療実例(*患者様の許可を得て掲載しています)

内頸動脈後交通動脈分岐部(ICPC)動脈瘤

ICPCの動脈瘤へのステント併用コイル塞栓術後の脳血管撮影画像とレントゲンです。血管撮影画像から脳血管ステントを併用することで動脈瘤が塞栓され、動脈瘤から分枝している後交通動脈の血流は温存されている様子がわかります(図左 血管撮影)。内頸動脈で展開されたステントが壁となることで動脈瘤に充填された塞栓用コイルが内頸動脈や後交通動脈側にはみ出さぬようになっています(図右 レントゲン)。

新しいデバイスを用いた脳動脈瘤治療の紹介

フローダイバーター

目の細かいステントを脳血管に留置することで、動脈瘤へと入る血流を制限し、動脈瘤の閉塞を期待する先端デバイスです。従来のコイル塞栓術では治療が困難だった大きく間口の広いタイプの動脈瘤や不整形の動脈瘤の治療が可能です。全国的にも未だに限られた施設、術者しか扱えない治療法ですが、当院での治療が可能です。治療には専用のトレーニングを終えた認定医が治療いたします。治療時間は一般的に1時間程度となります。

フローダイバーター治療実例(*患者様の許可を得て掲載しています)

大型内頸動脈(IC)動脈瘤

大型IC動脈瘤に対してフローダイバーターによる治療を実施。フローダイバーターは動脈瘤の根本をカバーする形で留置されました(右図)。術後は抗血小板薬の内服がしばらく必要となりますが、動脈瘤はその後半年ほどで閉塞しています。

パルスライダー

新しいタイプの金属量の少ない脳血管ステントです。間口の広い脳底動脈先端部動脈瘤など、これまで通常の脳血管ステントを使用したコイル塞栓術で治療が困難だった動脈瘤の治療に適しています。本デバイスも限られた術者のみ治療が可能です。本デバイスの認定医が実施します。

頸動脈狭窄治療

バルーンカテーテルと頸動脈ステントを用いて頸動脈狭窄部の治療を行います。直接頸動脈を切り開いて狭窄の原因となるプラークを取り除く頸動脈内膜剥離術(CEA)よりも侵襲が低く、心臓疾患のある患者様でもより治療が安全に可能、対側の内頸動脈にも狭窄のある患者様にも治療が可能というメリットがあります。手術時間は60分程度。一般的に4~7日程度の入院期間となります。脳血管内治療が困難な場合には直逹術による治療も可能なため、患者様の状態に応じて適した治療を提案します。

脳動静脈奇形や硬膜動静脈瘻などのシャントへの治療

脳動静脈奇形や硬膜動静脈瘻は脳の静脈の逆流現象を引き起こし、脳の鬱血からの出血を起こしうる危険な病気です。脳血管内治療ではカテーテルから液体塞栓物質を使用し、病変の塞栓術を行いますが、この複雑な病変への治療計画の策定には専門的な知識と経験を要します。
当院では従来行われてきた医療用接着剤(NBCA)の注入やプラチナコイルによる塞栓治療の他、新しい塞栓物質であるエチレンビニルアルコール(EVOH)コポリマーによる塞栓治療を行うことが可能です。EVOHによる塞栓治療は疾患の状況によっては従来の塞栓物質と比較し優れた治療効果を持つため、本治療をオプションとして持つか否かによって治療成績が変わります。この塞栓物質による治療は脳血管内治療の十分な経験と専用のトレーニングを受講する必要があり、治療可能施設は限られております。手術時間は2−3時間、入院期間は一般に4−7日程度です。

脳主幹動脈閉塞に対する血栓回収術

脳の主な動脈に血栓が詰まると次第に大きな脳梗塞が生じます。しかし、適切なタイミングで血管に詰まった塞栓物を除去することで脳血流を再開し、脳梗塞の拡大を防ぐことができます。
本治療は脳卒中治療の中でも最も重要な治療の一つであり、本治療の提供体制無しに地域の脳卒中治療の中核を果たすことは出来ません。当院では救急の患者様に対してこの血栓回収術を常時行える体制を常勤脳血管内治療専門医2名と非常勤の脳血管内治療専門医数名で整えております。当院は救急を24時間受け入れており、地域の患者様に極力短時間でこの血栓回収術とtPAによる治療を提供できるよう心がけております。

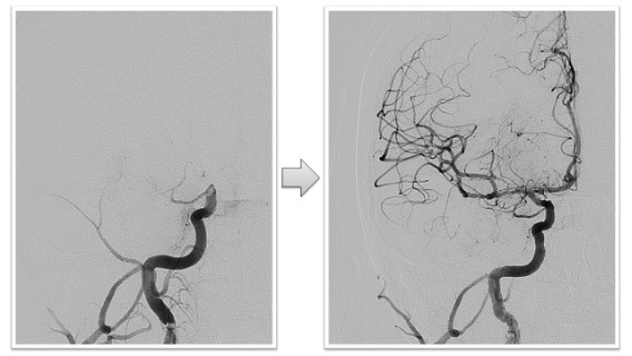
内頸動脈閉塞実例(*患者様の許可を得て掲載しています)

心原性脳塞栓症による左内頸動脈閉塞

右内頚動脈終末部の閉塞症例ですが、術後右内頚動脈から中大脳動脈、前大脳動脈などすべての末梢動脈への血流が回復しています。